Treatments
Replacing teeth
Our Blue Sky Dental & Implant Clinic dentists can help restore your confidence with replacements for missing teeth: from single implants to bridges, only you will know they’re there.
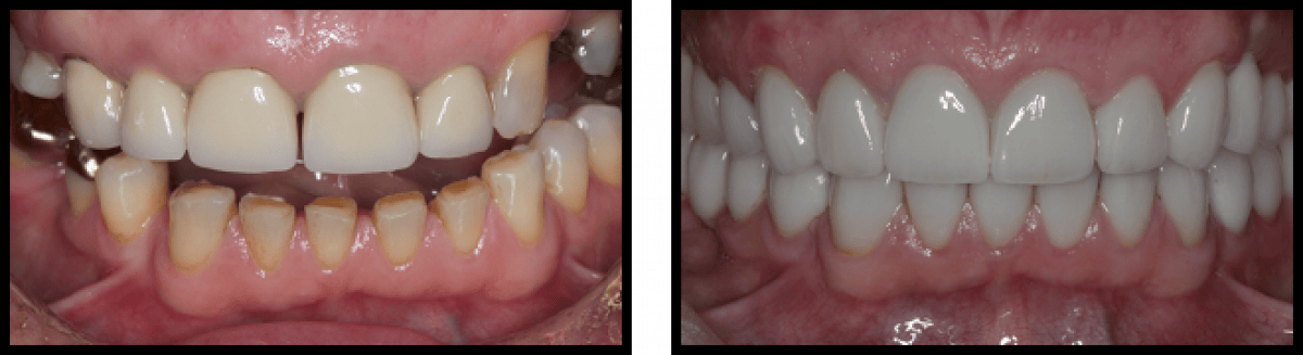
This was a complex case that needed a mixture of disciplines to provide the finished result. Firstly, the gums were repositioned to provide a less 'gummy' smile. The bite was completely reformed to provide a stable, functional result. Finally, a mixture of implants, crowns and porcelain veneers were provided to give a hugely impressive finish. Nominated in the Full Mouth Restoration Category at the 2015 UK Aesthetic Dentistry Awards.

This was a complex case that needed a mixture of disciplines to provide the finished result. Firstly, the gums were repositioned to provide a less 'gummy' smile. The bite was completely reformed to provide a stable, functional result. Finally, a mixture of implants, crowns and porcelain veneers were provided to give a hugely impressive finish.
Nominated in the Full Mouth Restoration Category at the 2015 UK Aesthetic Dentistry Awards.

This patient was concerned about the increased tooth-wear on his front teeth. He wanted his front teeth to look like they did when he was younger. In addition, he wanted to have back teeth again to allow him to chew his food effectively. All his teeth were built up with a mixture of bridges and crowns. The final result was undoubtedly a huge functional and aesthetic success.

Treatments
Our Blue Sky Dental & Implant Clinic dentists can help restore your confidence with replacements for missing teeth: from single implants to bridges, only you will know they’re there.
Treatments
Our Blue Sky Dental & Implant Clinic dentists are experienced in restoring smiles and cosmetic dentistry. We use smart technology and expert techniques to achieve your dental goals.